Your present position: Home > 产品中心 147
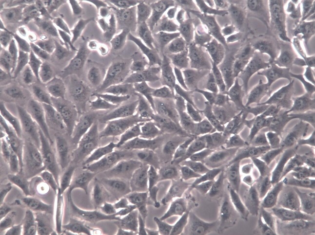
H4人神经胶质瘤细胞【已通过STR鉴定】
Product Introduction
目录号 |
CC-Y1172 |
细胞英文(简称) |
H4 |
细胞名称 |
H4人神经胶质瘤细胞【已通过STR鉴定】 |
背景资料 |
H4细胞系建系于1973年。它衍生于一个患神经胶质瘤的37岁病人的脑组织。该细胞的致瘤特性己经被屏蔽,细胞接种动物一般不产生肿瘤结节。该细胞具有修复MNNG损伤5型腺病毒的能力。 |
细胞来源 |
ATCC |
代次 |
P3 |
规格 |
T25 |
细胞数 |
1x10^6 cells |
价格 |
¥1480 |
生物安全级别 |
2 |
组织来源 |
脑组织 |
细胞形态 |
贴壁;上皮细胞样 |
细胞活力 |
95%(Viability by Trypan Blue Exclusion) |
细胞检测 |
细胞不含有HIV-1、HBV、HCV、支原体、细菌、酵母和真菌 |
培养条件 |
DMEM (高糖)+10% FBS(货号:C2056-1A)+1%P/S;37℃,5% CO2 |
传代方法 |
建议1:2-1:3 两天换液一次 |
冻存条件 |
无血清细胞冻存液(货号:S002) |






